中大新聞網訊(通訊員毛燕萍)日前,中山大學腫瘤防治中心馬駿教授團隊牽頭,聯合梧州市紅十字會醫院、佛山市第一人民醫院共3家單位,共同完成了一項鼻咽癌患者內側組咽后淋巴結區豁免放療對比標準放療的前瞻性III期臨床研究,首次創新鼻咽癌患者內側組咽后淋巴結區豁免放療的“減毒”新技術,在確保療效的同時,顯著改善了患者的生活質量。
該項研究于英國當地時間2023年2月6日在線發表于國際頂級醫學期刊《英國醫學雜志》(The British Medical Journal,BMJ)。馬駿教授、孫穎教授、陳磊主任醫師、唐玲瓏主任醫師為共同通訊作者,毛燕萍主任醫師、王順鑫碩士、高天生主任醫師(梧州市紅十字會醫院)、張寧主任醫師(佛山市第一人民醫院)、梁曉雨醫師、謝方云教授為共同第一作者。同時,這項研究作為10%以內的優秀論文入選了2022美國放射腫瘤學會(ASTRO)年會口頭報告。
鼻咽癌具有明顯的地區流行性,全球47%的病例發生在我國,其中廣東、廣西、福建等地尤為高發,嚴重威脅華南地區人民的生命健康。咽后淋巴結是鼻咽癌首站淋巴引流之一,初診時轉移率高達70-80%。既往推薦鼻咽癌全咽后淋巴結區預防照射,放療相關毒性大,放療后晚期吞咽困難發生率為35.4%,而這部分患者中有66.9%會發生誤吸,12%吸入性肺炎,10%不能正常飲食、需要依賴鼻飼管或者胃造瘺。
馬駿教授、孫穎教授、毛燕萍主任醫師團隊一直致力于鼻咽癌放療“減毒”新技術的研究,早在2008年就發現鼻咽癌咽后淋巴結轉移的規律:咽后淋巴結分為內側組和外側組,鼻咽癌咽后淋巴結轉移主要發生在外側組,內側組極少受累,發生率不超過1%。在此基礎上,馬駿教授等牽頭聯合梧州市紅十字會醫院及佛山市第一人民醫院,于2017年開展了一項前瞻性、隨機、多中心的3期臨床試驗,比較了鼻咽癌內側組咽后淋巴區豁免放療與標準放療(內、外側組均接受放療)的臨床結果。
這項研究入組第八版AJCC分期系統分期為T1-4N0-3M0期的568例鼻咽癌患者,按1:1隨機分配到內側組咽后淋巴結豁免放療組(285例)和標準放療組(內、外側組均接受放療)(283例)。主要終點是意向性治療人群的無局部復發生存率。

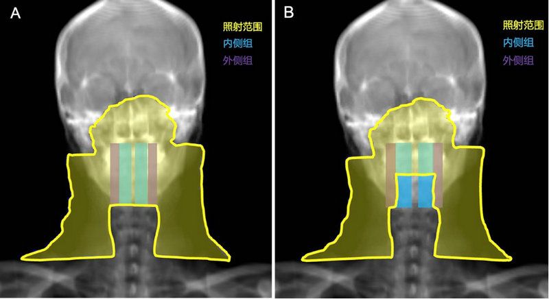
鼻咽癌預防照射范圍示意圖
A對照組:內、外側組咽后淋巴結區均接受預防照射(左)
B試驗組:內側組咽后淋巴結區豁免預防照射(右)
結果顯示,在鼻咽癌患者中,3年無局部復發生存率在內側組咽后淋巴結區豁免放療組和標準放療組相似(95.3%對95.5%,差值-0.2%,非劣效P值<0.001)。同樣,3年總生存率(95.2%對96.4%,P=0.16),無區域復發生存率(96.9%對94.0%,P=0.28),無遠處轉移生存率(89.7%對92.3% ,P=0.25)在兩組間均相似。

內側組咽后淋巴區豁免放療組與標準放療組生存曲線比較
(兩組的無局部復發生存率、總生存率、無遠處轉移生存率及無區域復發生存率均無統計學差異)
在毒副反應和生活質量方面,內側組咽后淋巴結區豁免放療組放療相關毒副反應發生率更低,包括急性黏膜炎(內側組咽后淋巴結豁免放療組67.7%對標準放療組79.8%)、急性吞咽困難(25.5%對35.1%)、體重下降(46.8%對57.8%)以及晚期吞咽困難(24.0%對34.3%)。另外,內側組咽后淋巴結區豁免放療組在健康狀況、社會功能、是否容易疲勞及吞咽困難等方面的生活質量均明顯優于標準放療組。

內側組咽后淋巴區豁免放療組與標準放療組生存質量的比較
該研究創新性地提出了鼻咽癌患者內側組咽后淋巴結區的豁免放療“減毒”新技術,有效減少了咽縮肌等吞咽相關結構的照射,確保了患者治療效果不降低的同時,明顯減少放療中的黏膜炎、吞咽困難、體重下降等毒副反應,提高了患者生活質量,將使99%鼻咽癌患者從中受益,今后有望改寫臨床鼻咽癌治療指南,造福更多鼻咽癌患者。
論文鏈接:http://bmj.com/cgi/content/full/bmj-2022-072133?ijkey=YXh1OStXT0mwRNi&keytype=ref