AG百家乐大转轮-AG百家乐导航_怎么看百家乐走势_全讯网官网 (中国)·官方网站

In the Media

[newsgd.com] Doctors remove 13kg of breast tissue for patient with gigantomastia

Source: newsgd.com 2022-08-10 Written by: Hannah, Lanting Edited by: Wang Dongmei

Li Haiyan, director of breast surgery, and her team from the Sixth Affiliated Hospital of Sun Yat-sen University, recently completed a breast reduction for a female patient with gigantomastia. The operation removed 13 kilograms of excess breast tissue and reshaped both breasts to help the patient return to a healthy life.

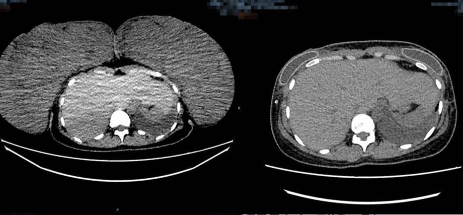
Comparison of the patient's chest enhancement CT. Preoperative size (left): 267 mm×100 mm×293 mm, postoperative size (right): 125 mm×270 mm×340 mm.

(Photo provided to Newsgd.com)

The patient, surnamed Wang (assumed name), 29 years old, came from Maoming. She had a sudden enlargement of both breasts after her first pregnancy two years ago. Accompanied by intermittent swelling and pain, Wang's breast cups rapidly developed from B to F in three months. However, she miscarried for some reason.

This year, Wang became pregnant again and then induced labor. Her breast cups developed from F to Q, and the oversized breasts seriously affected her daily life.

After examinations, Doctor Li Haiyan diagnosed Wang with gigantomastia.

Gigantomastia refers to an overgrowth of the female breasts, which is manifested by excessive breast volume and obvious physical imbalance. This condition is often seen in adolescent girls or young women, which is caused by abnormal sensitivity of the mammary glands and adipose connective tissue to estrogen.

In Surgery. (Photo provided to Newsgd.com)

"Female breast tissue growth during pregnancy is quite common because of estrogen secretion. However, it is rare to see changes as pronounced as Wang's." Li said, Wang has a relatively long medical history, and the blood vessels and ligaments inside her breasts have been stretched by the sagging breasts for a long time. After performing the surgical excision, the team also needed to reconstruct healthy breasts for Wang.

The entire surgery lasted for nearly 9 hours, with 13 kilograms of excess breast tissue removed, while a nipple-areola complex tissue grafting was successfully performed to reshape Wang's breasts.

After the surgery, Wang was transferred from the ICU to the general ward on the following day. Gradually, she was able to walk and exercise in the ward after several weeks of comprehensive treatment and care. "I feel relieved and can breathe better," said Wang.

Link to the report: https://www.newsgd.com/node_99363c4f3b/6124be14c0.shtml


百家乐官网赌博详解| 百家乐官网平台信誉| 大发888游戏官网下载| 玩百家乐官网新2娱乐城| 百家乐游戏图片| 百家乐官网软件稳赚| 网上百家乐游戏玩法| 百家乐官网有送体验金| 大发888娱乐场备用| 澳门百家乐官网必胜看| 浙江省| 百家乐投住系统| 真人百家乐官网送钱| 云博娱乐城,| 网络百家乐破解器| 百家乐官网平注法攻略| 易胜博足球开户| 最好的百家乐博彩网站| 百家乐官网技术辅助软件| 大发888特惠代码| 关于百家乐切入点| 百家乐官网赌场占多大概率| 澳门玩百家乐00| 至尊百家乐官网20130201| 网上百家| 大发888娱乐城注册lm0| 24山在风水中的作用| 百家乐官网视频网络游戏| 德州扑克软件| 南宁百家乐赌机| 百家乐官网刷钱| 现金百家乐官网技巧| 新平| 大发888通宝| 百家乐游戏下裁| 犹太人百家乐官网的玩法技巧和规则 | 错那县| 六合彩码报| 大发888贴吧| 喜洋洋水果机遥控器| 做生意门面朝向风水|